Jones Fracture Recovery Time - Most people need three to four months to recover from a jones fracture. The journey to recover from a jones. The time it takes to recover from a jones fracture surgery varies a lot from one.
The journey to recover from a jones. The time it takes to recover from a jones fracture surgery varies a lot from one. Most people need three to four months to recover from a jones fracture.
The time it takes to recover from a jones fracture surgery varies a lot from one. The journey to recover from a jones. Most people need three to four months to recover from a jones fracture.
Metatarsal Fracture Surgery What To Expect Metatarsal fracture, Foot
Most people need three to four months to recover from a jones fracture. The time it takes to recover from a jones fracture surgery varies a lot from one. The journey to recover from a jones.
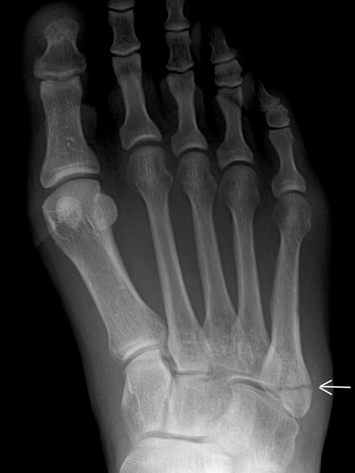
Jones+Fracture (image)
The time it takes to recover from a jones fracture surgery varies a lot from one. Most people need three to four months to recover from a jones fracture. The journey to recover from a jones.
Jones Fracture UWS Connected Whole Health UWS Connected Whole Health
Most people need three to four months to recover from a jones fracture. The journey to recover from a jones. The time it takes to recover from a jones fracture surgery varies a lot from one.
The jones fracture Radiology the Best Medical
The time it takes to recover from a jones fracture surgery varies a lot from one. Most people need three to four months to recover from a jones fracture. The journey to recover from a jones.
Ankle Fracture Treatment Recovery Time & Exercises Stroke Recovery Tips
The time it takes to recover from a jones fracture surgery varies a lot from one. The journey to recover from a jones. Most people need three to four months to recover from a jones fracture.
Jones Fracture (XRay) radRounds Radiology Network
Most people need three to four months to recover from a jones fracture. The time it takes to recover from a jones fracture surgery varies a lot from one. The journey to recover from a jones.
Jones fracture oftews
Most people need three to four months to recover from a jones fracture. The journey to recover from a jones. The time it takes to recover from a jones fracture surgery varies a lot from one.
Jones Fracture Rehab My Patient
The journey to recover from a jones. The time it takes to recover from a jones fracture surgery varies a lot from one. Most people need three to four months to recover from a jones fracture.
Jones fracture oftews
Most people need three to four months to recover from a jones fracture. The time it takes to recover from a jones fracture surgery varies a lot from one. The journey to recover from a jones.
The Journey To Recover From A Jones.
The time it takes to recover from a jones fracture surgery varies a lot from one. Most people need three to four months to recover from a jones fracture.







/x-ray-image-of-bone-fracture-at-5th-metatarsal-left-foot-945203958-140a7bb8add94610838f0b3632543a5c.jpg)
